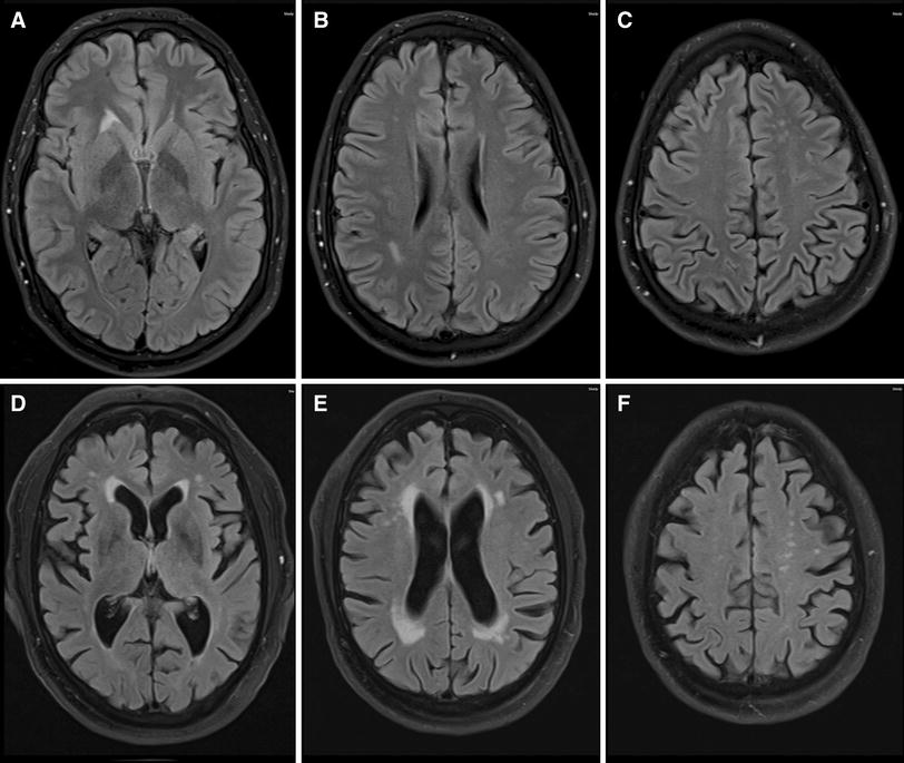
Hereditary Diffuse Leukoencephalopathy With Spheroids


Its pathogenesis and causes are complex, and it has obvious clinical and genetic heterogeneities; Characteristic pathological features at brain biopsy or postmortem can support the diagnosis.

A Family with Hereditary Diffuse Leukoencephalopathy with Spheroids
A Family with Hereditary Diffuse Leukoencephalopathy with Spheroids from www.jns-journal.com

The disease is caused by mutations in the protein tyrosine kinase domain of colony‐stimulating factor 1 receptor (csf1r), encoded by the csf1r gene on chromosome 5q34. Hereditary diffuse leukoencephalopathy with spheroids (hdls) is a rare autosomal dominant disorder characterized by cerebral white matter degeneration with myelin loss and axonal swellings (spheroids) leading to progressive cognitive and motor dysfunction.

Hereditary Diffuse Leukoencephalopathy With Spheroids. Diffuser is an instrument which is usually owned by those who are into aromatherapy. There are various types and uses of diffusers on the market in accordance with the preferences of users. Be sure that you're right in selecting one to ensure that the benefits of aromatherapy are felt to the maximum.

A diffuser is a device which converts aromatic oils to fragrant vapors, and then distribute them throughout the air to ensure they are easier to breathe. The use of a diffuser in the room can create a comfortable and calming ambience. Therefore, the use of diffusers is extremely beneficial to relax your mind and lessen stress.

Although the diffusion of air is beneficial, it is not proven suitable for employ it as a method for making antiseptic liquids vaporize to sterilize the air. This actually risks causing side negative effects, like irritation of the respiratory tract and eyes.

The use of diffusers so far has only been useful for optimizing the benefits from essential oils. The scent that diffuses enhances the sense of smell and can affect emotions as well as our nervous systems. It is dependent on the type of aromatherapy

The usage of a diffuser, (also known as room humidifier) is growing in popularity within the society. It is typically used with essential oils which can give a refreshing and refreshing aromatherapy. So, not only the air is humid, but also the environment is more comfortable with a calming aroma of freshness.

The reason behind the trend that people are increasingly attracted to, it turns out that the diffusion of diffusers isn't just a way to add to a room's decor. There are many health benefits of a diffuser which can be derived. Beginning with the launching of your digestive process, assisting the mind and body to relax as well as boosting the mood or the mood of a good day.

The advantages of a diffuser may be used to combat various skin-related health issues that commonly happen. For instance, dry skin issues caused by the conditions in the air. The room is not humid enough so that it is dry, cold and harmful. If you suffer from this condition then using a diffuser in order to increase the humidity in the room may help.


Popular Posts

Activator Inhibitor Reaction Diffusion Model

Are Mechanically Gated Channels Facilitated Diffusion

Ap Lab 4 Diffusion And Osmosis Answers To Critical Thinking

Why Is My Diffuser Not Misting

Aromaharmony Ultrasonic Diffuser With Bluetooth

What Is A Diffuse Disc Bulge

Add Diffuser To Sound Blankets

Amazon Com Yankee Candle Simply Vanilla Reed Diffuser

Aroma Gem Diffuser Review

Audi B7 Non S Line Carbon Fiber Diffuser