Diffuse Large B Cell Lymphomas


Patients typically present with progressive lymphadenopathy, extranodal disease, or both and require therapy. What does diffuse large b cell lymphoma eat.

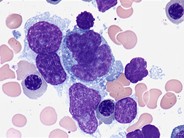
Diffuse large Bcell lymphoma bone marrow aspirate 2.
Diffuse large Bcell lymphoma bone marrow aspirate 2. from imagebank.hematology.org

These are types of lymphoma that affect b lymphocytes. Malignant lymphoma composed of large b lymphoid cells whose nuclear size can exceed normal macrophage nuclei, or more than twice the size of a normal lymphocyte.

Diffuse Large B Cell Lymphomas. Diffuser is a tool that is commonly used by people who love aromatherapy. There are many types and uses of diffusers that are available, according to the needs of users. Be sure that you're right in selecting one to ensure that the benefits of aromatherapy are fully felt.

The diffuser can be described as a device that functions to convert aromatic oils to fragrant vapors then spread them in the air so that they are easier to breathe. The use of a diffuser in a room can create a soothing and relaxing environment. Therefore, the use of diffusers is extremely beneficial to calm the mind and reduce stress.

Although the use of a diffuser offers many advantages It isn't safe to employ it as a method for vaporizing antiseptic liquids to sterilize the air. It could cause adverse negative effects, like irritation of the respiratory tract as well as the eyes.

The use of diffusers to date has been useful for optimizing the benefits from essential oils. The scent that diffuses enhances the sense of smell and influences emotions as well as our nervous systems. It is dependent on the kind of aromatherapy being used


Popular Posts

Activator Inhibitor Reaction Diffusion Model

Are Mechanically Gated Channels Facilitated Diffusion

Ap Lab 4 Diffusion And Osmosis Answers To Critical Thinking

Why Is My Diffuser Not Misting

Aromaharmony Ultrasonic Diffuser With Bluetooth

What Is A Diffuse Disc Bulge

Add Diffuser To Sound Blankets

Amazon Com Yankee Candle Simply Vanilla Reed Diffuser

Aroma Gem Diffuser Review

Audi B7 Non S Line Carbon Fiber Diffuser